Chirurgie

Wir möchten, dass Sie sich während Ihrer Behandlung bei uns sicher und geborgen fühlen.

Um Ihren Bedürfnissen gerecht zu werden, findet vor jeder Operation ein ausführliches Beratungsgespräch statt, um Ihnen Vor- und Nachteile der jeweiligen Behandlungsmethoden darzulegen und Sie mit dem weiteren Vorgehen vertraut zu machen.

Wir nutzen ein modernes digitales Aufklärungssystem, um Ihnen anhand von Filmen und Illustrationen den geplanten Eingriff nahe zu bringen und Ihre Fragen zu beantworten.

Dabei beantworten wir all Ihre Fragen, um mögliche Ängste im Vorfeld der Behandlung zu beseitigen.

Ent­fer­nung von Weis­heits­zähnen

Ein relativ häufig von Mund-Kiefer-Gesichtschirurgen vorgenommener Eingriff ist die operative Entfernung von Zähnen, die aufgrund der Platzverhältnisse nicht durchbrechen (retiniert = zurückgehalten sind) oder dabei den angrenzenden Zahn schädigen könnten. In den meisten Fällen betrifft das die Weisheitszähne, die als letzte durchbrechende Zähne nicht mehr genügend Platz im Kiefer finden. Auch eine Querlage oder anderweitige Verlagerung kann den Durchbruch in die Mundhöhle verhindern.

Gründe

Die Gründe für die Entfernung eines Weisheitszahns sind vielfältig. Der Arzt rät auch bei fehlenden Beschwerden zur vorbeugenden Entfernung, da verlagerte Weisheitszähne ein Ausgangspunkt für Infektionen und dem Abbau von Kieferknochen oder Zystenbildungen sein können. Eventuell droht ein Zahn durch seine ungünstige Lage den Nachbarzahn zu schädigen oder er verhindert den Durchbruch oder Pflege eines anderen Backenzahns. In jedem Fall schwächt ein im Kiefer verlagerter Weisheitszahn den Kieferwinkelbereich, was bisweilen sogar zu Kieferbrüchen bei Bagatellunfällen führen kann. Durch eine frühzeitige Entfernung bei Jugendlichen kann eine komplikationsträchtige Verbindung der Wurzelspitze mit dem Nerven verhindert werden.

In manchen Fällen wird die Entfernung des Weisheitszahns auch empfohlen, um den Erfolg einer kieferorthopädischen Behandlung nicht zu gefährden. Dies ist z.B. der Fall, wenn durch den Wachstumsdruck der Weisheitszähne die Vorderzähne wieder zusammengeschoben werden. Bei einem nur halb durchgebrochenen Weisheitszahn kann sich eine Tasche unter der verbliebenen „Zahnfleischkapuze“ bilden, die einen idealen Lebensraum für Bakterien bildet. Man bezeichnet diesen als Herdgeschehen. Auch dies kann ein Grund sein, einen Weisheitszahn zu entfernen.

Risiko

Die operative Entfernung von Weisheitszähnen gilt als risikoarmer Eingriff, welcher problemlos ambulant vorgenommen werden kann. Wie bei jeder Operation lassen sich natürlich Komplikationen nicht hundertprozentig ausschließen. Über seltene Komplikationen wie örtliche Infektionen, Wundheilungsstörungen oder Nervenverletzungen werden Sie vor dem Eingriff umfassend in einem gesonderten Termin aufgeklärt. 

Außerdem sollten Sie den Arzt rechtzeitig über die regelmäßige Einnahme von Medikamenten wegen anderer Erkrankungen informieren, da einige Medikamente wie z.B. blutverdünnende Substanzen einige Tage vor dem Eingriff abgesetzt werden müssen.

 

 

Vorgehen

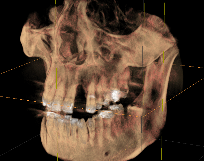
Bei nicht oder nicht vollständig durchgebrochenen Weisheitszähnen wird die darüber liegende Schleimhaut beiseite geschoben und der darüber liegende Knochen entfernt. Dann wird der Zahn mit einem Hebel entfernt. Ist dies aus anatomischen Gründen nicht im Ganzen möglich, wird das Durchtrennen des Zahnes notwendig. Das Trennen des Zahns ist obligat wenn die Platzverhältnisse keine andere Entfernungsmethode zulassen oder sich die Zahnwurzeln in unmittelbarer Nervnähe befinden. Die Wunde kann vernäht oder offen gelassen werden. Um Folgeschäden wie eine Taubheit der Unterlippe zu vermeiden kann präoperativ ein 3D DVT ( DIGITALES VOLUMENTOMOGRAMM ) zur Abklärung der Lagebeziehung von Wurzeln und Nerv sowie zur OP-Planung angefertigt werden.

Betäubung

Der Eingriff wird in der Regel in örtlicher Betäubung seitenweise durchgeführt. Die Operation kann ebenso in Vollnarkose durchgeführt werden, was nach der aktuellen Rechtslage, bis auf wenige Ausnahmen, eine Privatleistung darstellt. Genauere Informationen über Ausnahme- und Grenzindikationen sind vom Befund und Alter abhängig. Die Vor- und Nachteile der unterschiedlichen Behandlungskonzepte können gerne im Aufklärungsgespräch erörtert werden.

Wird ein Eingriff in Vollnarkose vorgenommen, sollten Sie 6 Stunden vor dem Eingriff nüchtern bleiben, d.h. nichts essen oder trinken, nicht rauchen und auch kein Kaugummi kauen.

Dauer

Die Entfernung eines Weisheitszahns kann einen unterschiedlichen Zeitrahmen beanspruchen. So können Zähne je nach Anatomie und Schwierigkeit innerhalb von wenigen Minuten entfernt werden. Bei komplizierten Zähnen oder Situationen ( Nervnähe etc.) kann die Entfernung länger dauern. In der Regel muss mit etwa 15 - 30 Minuten pro Kieferseite (2 Weisheitszähne) gerechnet werden.

Nach­behand­lung

Nach der operativen Entfernung von Weisheitszähnen in örtlicher Betäubung können Sie direkt nach Hause gehen. Bis die Betäubung abgeklungen ist sollten Sie nichts essen oder trinken. Nach Abklingen der Betäubung auftretende Schmerzen lassen sich durch einfache rezeptfreie Schmerzmittel bekämpfen. Auch eine Kühlung von außen mit einem kalt feuchten Waschlappen kann den Schmerz lindern und beugt einer übermäßigen Schwellung vor.

In der ersten Woche nach dem Eingriff sollten Sie körperliche Belastungen wie Sport, schweres Heben oder Saunagänge vermeiden. Von vielen Behandelnden wird empfohlen, auf Zigaretten, Alkohol, Kaffee und schwarzen Tee zu verzichten. Nach jedem Essen sollte der Mund mit lauwarmen Wasser sehr vorsichtig ausgespült werden.  Milchprodukte können Sie gerne zu Ihrer Ernährung verwenden.

 

Wichtig für den Heilungsverlauf ist zudem eine gute Mundhygiene, wobei auf Mundduschen in der ersten Zeit verzichtet werden sollte.

Noch am Tag des Eingriffs wird Ihnen mitgeteilt, wann Sie am kommenden Tag zur nächsten Kontrolluntersuchung wiederkommen sollen.

Bekommen Sie zu Hause stärkere Schmerzen oder Fieber, sollten Sie umgehend mit dem Arzt Kontakt aufnehmen. Auch wenn Sie unsicher sind und noch Fragen zum normalen Heilungsverlauf haben, wird Ihnen in der Praxis niemand böse sein, wenn Sie sich telefonisch Rat holen.

Wurzel­spitzen­resektion

Eine Wurzelbehandlung sowie eine Wurzelspitzenresektion sind Zahnerhaltungsversuche! Lässt sich ein entzündlicher Prozess im Bereich der Zahnwurzelspitze nicht durch eine herkömmliche Wurzelbehandlung behandeln, kann der Zahn unter Umständen noch durch eine chirurgische Entfernung der Wurzelspitze (Wurzelspitzen-Resektion) in Funktion gehalten werden. Hierbei handelt es sich um ein Standardoperationsverfahren, das problemlos ambulant vorgenommen werden kann.

Gründe

Zu einer Wurzelspitzen-Entfernung wird Ihr Zahnarzt oder Kieferchirurg dann raten, wenn ein chronisch entzündlicher Prozess durch eine Wurzelbehandlung nicht behoben werden kann oder eine konventionelle Wurzelbehandlung nicht möglich ist. Auch wenn sich im Röntgenbild Veränderungen im Bereich der Wurzelspitze zeigen, die nicht eindeutig zuzuordnen sind, kann eine Wurzelspitzen-Resektion empfehlenswert sein. Um die Region der Wurzelspitzen genauer abzubilden ist es präoperativ möglich, durch ein 3D DVT (DIGITALES VOLUMENTOMOGRAMM) die Region dreidimensional abzubilden, um so eine bessere OP-Planung zu erhalten oder sich über die Frage der Erhaltungswürdigkeit des Zahns klar zu werden.

Bei Zahnverletzungen wie z.B. Brüchen der Wurzel, Tumorverdacht oder Hohlräumen (Zysten) kann eine Entfernung der Wurzelspitze ebenfalls angebracht sein. Komplikationen einer herkömmlichen Wurzelbehandlung wie nicht entfernbare abgebrochene Wurzelkanalinstrumente oder ein überpresstes Wurzelfüllmaterial können in seltenen Fällen auch ein Grund für eine Wurzelspitzen-Resektion sein.

Vor­aus­setz­ungen

Wichtige Voraussetzung für die Wurzelspitzen-Resektion ist, dass der betreffende Zahn erhaltenswert ist, d.h. noch keine zu große Zerstörung der Wurzel und des Zahnhalteapparates eingetreten ist. Ist die Zerstörung schon stark ausgeprägt, ist es besser, den Zahn zu ziehen.

Risiko

Die Wurzelspitzen-Resektion gilt als risikoarmer Eingriff, welcher problemlos ambulant vorgenommen werden kann. Da es sich um einen operativen Eingriff handelt, hat der Gesetzgeber eine OP-Aufklärung mit schriftlicher Einwilligung vorgesehen, welche mindestens 24 Stunden vorher erfolgen sollte. Wir nehmen uns für Sie die Zeit innerhalb eines beratenden Aufklärungsgesprächs über die Möglichkeiten und Risiken der Operation zu informieren. Wie bei jeder Operation lassen sich natürlich Komplikationen nicht hundertprozentig ausschließen. Über seltene Komplikationen wie örtliche Infektionen, Wundheilungsstörungen oder Nervenverletzungen werden wir Sie vor dem Eingriff umfassend aufklären. 

Außerdem sollten Sie den Arzt rechtzeitig über die regelmäßige Einnahme von Medikamenten wegen anderer Erkrankungen informieren, da einige Medikamente wie z.B. blutverdünnende Substanzen einige Tage vor dem Eingriff abgesetzt werden müssen.

Vorgehen

Bei der Wurzelspitzenresektion durchtrennt der Operateur über der betreffenden Zahnwurzel das Zahnfleisch und die Knochenhaut. Das Weichgewebe wird vom Knochen weggeschoben bis dieser frei zugänglich ist. Um an die Wurzelspitze zu gelangen, wird der Knochen mit einer speziellen Knochenfräse abgetragen. Anschließend kürzt der Chirurg die entzündete Wurzelspitze mit einer länglichen Fräse um einige Millimeter. Dabei werden feine verästelte Ausläufer des Wurzelkanals möglichst mitentfernt, die durch die Wurzelbehandlung nicht erreicht werden konnten. Der Arzt nimmt während der Operation eine Gewebeprobe, die feingeweblich untersucht wird.

Je nach Situation wird der Wurzelkanal behandelt. Der Zugang erfolgt hier in der Regel von der Zahnkrone aus, die entsprechend aufgebohrt wird. Der Wurzelkanal wird wie bei der normalen Wurzelbehandlung erweitert, desinfiziert, getrocknet und ausgefüllt. In anderen Fällen ist der Zugang durch die Zahnkrone nicht möglich, sodass die Füllung von der Wurzelspitze aus erfolgen muss. Dies ist ein aufwändiges Verfahren, in dem mittels Ultraschall, retrograd (von unten) die Wurzelkanäle aufbereitet und anschließend gefüllt werden. Nach Entfernung des Entzündungsgewebes und sorgfältiger Säuberung der Knochenhöhle wird das Weichgewebe zurück geklappt und vernäht. Je nach Situation kann es sinnvoll sein, den durch die Entzündung und Säuberung verlorengegangenen Knochen mittels Knocheneratzmaterial aufzufüllen, um dem zu rettenden Zahn möglichst schnell wieder ein festes Zahnbett zu geben.

Um die Wurzelfüllung und erfolgreiche Wurzelspitzen-Resektion noch einmal zu kontrollieren, wird unmittelbar nach dem Eingriff noch eine Röntgenaufnahme angefertigt. Zum Abschluss wird die Zahnkrone provisorisch verschlossen. Die endgültige Füllung des Zahnes erfolgt erst nach Abschluss der Wundheilung.

Betäubung

Der Eingriff wird in der Regel in örtlicher Betäubung durchgeführt. Die Operation kann ebenso in Vollnarkose durchgeführt werden, was nach der aktuellen Rechtslage, bis auf wenige Ausnahmen, eine Privatleistung darstellt. Genauere Informationen über Ausnahme- und Grenzindikationen sind vom Befund und Alter abhängig. Die Vor- und Nachteile der unterschiedlichen Behandlungskonzepte können gerne im Aufklärungsgespräch erörtert werden. 

Wird ein Eingriff in Vollnarkose vorgenommen, sollten Sie 6 Stunden vor dem Eingriff nüchtern bleiben, d.h. nichts essen oder trinken, nicht rauchen und auch kein Kaugummi kauen.

Dauer

Die Dauer des Eingriffs hängt von den jeweiligen Verhältnissen ab. In der Regel muss mit etwa 15 - 30 Minuten pro einfacher Wurzelspitzenresektion gerechnet werden.

Nach­behand­lung

Nach der ambulanten Wurzelspitzen-Resektion in örtlicher Betäubung können Sie direkt nach Hause gehen. Bis die Betäubung abgeklungen ist sollten Sie nichts essen oder trinken. Nach Abklingen der Betäubung auftretende Schmerzen lassen sich durch einfache rezeptfreie Schmerzmittel bekämpfen. Auch eine Kühlung von außen mit einem kalt feuchten Waschlappen kann den Schmerz lindern und beugt einer übermäßigen Schwellung vor.

In der ersten Woche nach dem Eingriff sollten Sie körperliche Belastungen wie Sport, schweres Heben oder Saunagänge vermeiden. Von vielen Behandelnden wird empfohlen, auf Zigaretten, Alkohol, Kaffee und schwarzen Tee zu verzichten. Nach jedem Essen sollte der Mund mit lauwarmen Wasser sehr vorsichtig ausgespült werden. Milchprodukte können sie gerne zu ihrer Ernährung verwenden. 

 

Wichtig für den Heilungsverlauf ist eine gute Mundhygiene, wobei auf Mundduschen in der ersten Zeit verzichtet werden sollte.

Noch am Tag des Eingriffs wird Ihr Arzt Ihnen mitteilen, wann Sie zur nächsten Kontrolluntersuchung wiederkommen sollen. In Ihrem eigenen Interesse sollten Sie diesen und auch die folgenden Termine unbedingt einhalten.

Bekommen Sie zu Hause stärkere Schmerzen oder Fieber, sollten Sie umgehend mit dem Arzt Kontakt aufnehmen. Auch wenn Sie unsicher sind und noch Fragen zum normalen Heilungsverlauf haben, wird Ihnen in der Praxis niemand böse sein, wenn Sie sich telefonisch Rat holen.

Parodontal­chirurgie

Als Parodontose bzw. nach neuerem Sprachgebrauch Parodontitis bezeichnet man entzündliche Veränderungen des Zahnfleisches, die unbehandelt zu einem Verlust von Zähnen führen können. Ausgangspunkt der Entzündung sind meist Zahnbelege (Plaques) und Zahnstein (Konkremente), in denen Bakterien ideale Bedingungen für ihre Vermehrung finden. Die Keime führen zu entzündlichen Veränderungen in dem Gewebe, das den Zahn umgibt. Die Entzündung geht im weiteren Verlauf auch auf den Kieferknochen über und zerstört diesen.

Gründe

Wichtigster Risikofaktor ist eine mangelnde Mundhygiene. Auch eine Kohlenhydrat lastige Fehlernährung, bestimmte Erkrankungen wie die Zuckerkrankheit oder AIDS, Störungen im körpereigenen Abwehrsystem, Zahnfehlstellungen und das Rauchen können die Entstehung einer Parodontitis begünstigen.

Warnsymptome sind ein intensiv rotes Zahnfleisch, Zahnfleischbluten, Mundgeruch und ein Rückgang des Zahnfleisches. Am Anfang der Erkrankung lässt sich die Entzündung bei guter Mundpflege noch zur Abheilung bringen. Haben sich bereits Zahnfleischtaschen gebildet oder ist sogar bereits der Knochen betroffen, kann der Zahnarzt bzw. Mund-Kiefer-Gesichtschirurg nur noch in Form eines chirurgischen Eingriffs helfen.

Risiko

Die Parodontose-Operation gilt als risikoarmer Eingriff, der problemlos ambulant vorgenommen werden kann. Wie bei jeder Operation lassen sich natürlich Komplikationen nicht hundertprozentig ausschließen. Über seltene Komplikationen wie örtliche Infektionen, Wundheilungsstörungen oder Nachblutungen wird Ihr Arzt Sie vor dem Eingriff umfassend aufklären.

Außerdem sollten Sie den Arzt rechtzeitig über die regelmäßige Einnahme von Medikamenten wegen anderer Erkrankungen informieren, da einige Medikamente wie z.B. blutverdünnende Substanzen einige Tage vor dem Eingriff abgesetzt werden müssen.

Durch eine gute Mundhygiene und Rauchverzicht können Sie selbst viel dazu beitragen, das Risiko für eine örtliche Infektion zu vermindern. Da sich der Zahnfleischrand nach der Operation auf den nunmehr gesunden Knochen zurückziehen kann, sind Sie möglicherweise mit dem kosmetischen Ergebnis insbesondere bei den Vorderzähnen nicht so zufrieden. Der Rückzug des Zahnfleisches ist aber als Voraussetzung für den langfristigen Erfolg anzusehen, und es gilt der Grundsatz „Heilung vor Kosmetik“.

Die Parodontose-Operation gilt als risikoarmer Eingriff, der problemlos ambulant vorgenommen werden kann. Wie bei jeder Operation lassen sich natürlich Komplikationen nicht hundertprozentig ausschließen. Über seltene Komplikationen wie örtliche Infektionen, Wundheilungsstörungen oder Nachblutungen wird Ihr Arzt Sie vor dem Eingriff umfassend aufklären.

Außerdem sollten Sie den Arzt rechtzeitig über die regelmäßige Einnahme von Medikamenten wegen anderer Erkrankungen informieren, da einige Medikamente wie z.B. blutverdünnende Substanzen einige Tage vor dem Eingriff abgesetzt werden müssen.

Durch eine gute Mundhygiene und Rauchverzicht können Sie selbst viel dazu beitragen, das Risiko für eine örtliche Infektion zu vermindern. Da sich der Zahnfleischrand nach der Operation auf den nunmehr gesunden Knochen zurückziehen kann, sind Sie möglicherweise mit dem kosmetischen Ergebnis insbesondere bei den Vorderzähnen nicht so zufrieden. Der Rückzug des Zahnfleisches ist aber als Voraussetzung für den langfristigen Erfolg anzusehen, und es gilt der Grundsatz „Heilung vor Kosmetik“.

Vorgehen

Der Zahnarzt untersucht bei jeder Routineuntersuchung auch das Zahnfleisch. Mit sogenannten Parodontalsonden wird geprüft, wie tief eventuell vorhandene Zahnfleischtaschen sind und wie es um die Blutungsneigung bestellt ist. Stellt er eine Parodontitis fest, wird zusätzlich eine Röntgenaufnahme angefertigt, um Zahnstein (Konkremente) unterhalb des Zahnfleischrandes und Kieferknochenveränderungen zu erkennen.

Erst dann kann entschieden werden, welche Behandlungsform bei Ihnen in Frage kommt. Behandelt werden sollte eine Parodontose in jedem Fall, da sonst eine weitere Zerstörung des Kieferknochens und der Verlust des betreffenden Zahnes droht. Außerdem gilt eine unbehandelte Parodontitis auch als Risikofaktor für andere Erkrankungen wie Herzerkrankungen und Frühgeburten.

In frühen Stadien können Entzündungsgewebe, Bakterien und Zahnstein noch durch die Zahnfleischtasche selbst entfernt werden, ohne dass das Zahnfleisch aufgeschnitten werden muss. Dies ist bei Zahnfleischtaschen von 1-3 mm Tiefe möglich. Mit scharfen Instrumenten Küretten, Laser oder einem Ultraschallgerät dringt der Arzt in die Taschen ein und entfernt die Verunreinigungen. Hinterher werden die Zahnwurzeln noch geglättet. Diese Form der systematischen Parodontosebehandlung nennt man auch „Deep Scaling“.

Ist bereits der Kieferknochen mitbefallen, verlieren die Zähne ihren Halt und haben die Zahnfleischtaschen eine Tiefe von 4 bis 10mm, reicht diese Behandlung nicht mehr aus. Diese fortgeschrittenen Fälle können nur noch durch eine Parodontose-Operation geheilt werden.

Dazu wird das Zahnfleisch im kranken Bereich aufgeschnitten und weggeklappt und das bakteriell verseuchte Gewebe gründlich entfernt. Der Knochen und die Wurzeloberfläche werden mit Polierdiamanten mikroskopisch fein gesäubert. Anschließend werden unter Umständen die entstandenen Lücken im Knochen durch künstliches oder körpereigenes Knochenmaterial (Augmentate) ersetzt. Damit die Augmentate gut einheilen können, wird das Ganze mit einer sich selbstauflösenden Folie (Regenerationsmembran) bedeckt, die die Heilung fördert (Guided Tissue Regeneration). Anschließend wird das Zahnfleisch wieder vernäht und durch einen speziellen Zahnfleischverband bedeckt. Nach 6 bis 8 Monaten ist der Heilungsprozess in der Regel abgeschlossen und ein Teil des verlorengegangenen Knochens wieder zurückgewonnen.

Kiefer­ortho­pädische Opera­tionen

Bei einer erheblichen Zahn- oder Kieferfehlstellung kann eine optimale Zahnstellung manchmal nur noch durch eine enge Zusammenarbeit von Zahnärzten und Mund-Kiefer-Gesichtschirurgen erreicht werden.

Vor­aus­setz­ungen

Wird ein Eingriff in Vollnarkose vorgenommen, sollten Sie 6 Stunden vor dem Eingriff nüchtern bleiben, d.h. nichts essen oder trinken, nicht rauchen und auch kein Kaugummi kauen.

Schon vor dem Eingriff sollten Sie auf eine penible Mundpflege achten und möglichst nicht rauchen, um eine optimale Wundheilung zu gewährleisten. Nehmen Sie wegen anderer Erkrankungen regelmäßig Medikamente, sollten Sie den Arzt bzw. Anästhesisten rechtzeitig vorher darüber informieren, da einige Medikamente wie z.B. blutverdünnende Substanzen einige Tage vor dem Eingriff abgesetzt werden sollten. Sie sollten am Tag des Eingriffs nicht selbst Auto fahren und sollten sich auch nicht alleine mit öffentlichen Verkehrsmitteln auf den Weg machen. Lassen Sie sich von Angehörigen oder Freunden abholen oder nehmen Sie ein Taxi nach Hause.

Vorgehen

Passen Ober- und Unterkiefer nicht richtig zusammen, besteht z.B. die Möglichkeit, den Oberkiefer operativ nach vorne oder den Unterkiefer nach hinten zu verlagern. Hierzu wird der jeweilige Kiefer völlig vom Gesichtsschädel losgelöst und in der neuen gewünschten Zielposition mit kleinen Metallplatten wieder am Gesichtsschädel befestigt. Danach erfolgt meist noch eine kieferorthopädische Behandlung mit entsprechenden Halteapparaten (feste oder herausnehmbare Spangen), um das Ergebnis zu stabilisieren. Diese Operation wird in der Regel an Universitäten oder größeren Krankenhäusern durchgeführt.

Weitere operative Möglichkeiten sind die operative Freilegung eines einzelnen Zahnes, der dann umschlungen und in die richtige Position gebracht wird. Manchmal ist es auch erforderlich, einen Zahn an einer Stelle herauszunehmen und an anderer Stelle wieder in der richtigen Position einzupflanzen (Zahntransplantation). Auch das Ziehen eines an sich noch gesunden Zahnes ist manchmal notwendig.

Ein relativ kleiner Eingriff ist die Entfernung eines zu hoch angesetzten Lippenbändchens zwischen der Frontzähnen. Durch dieses Bändchen kann manchmal verhindert werden, dass sich eine Zahnlücke vollständig schließt. Durch einen kleinen Schnitt wird das überentwickelte Lippenbändchen aufgeschnitten und anders herum wieder vernäht. Danach wachsen die Zähne dann meist wie von selbst wieder zusammen. Ein überdimensioniertes Lippenbändchen, das den Zusammenschluss der Vorderzähne behindert, sollte nach Möglichkeit immer entfernt werden. Nicht nur, das ansonsten eine unschöne Lücke bleibt, es kann auch die Entfernung von Zahnbelag erschweren, beim Zähneputzen leicht verletzt werden und Ausgangspunkt für eine Zahnfleischentzündung sein. Am besten ist es, das Lippenbändchen schon im Vorschulalter zwischen vier und sechs Jahren zu entfernen, sobald die benachbarten Schneidezähne durchgebrochen sind.

Nach­behandlung

Bekommen Sie zu Hause stärkere Schmerzen, Nachblutungen oder Fieber, sollten Sie umgehend mit dem Arzt Kontakt aufnehmen. Auch wenn Sie unsicher sind und noch Fragen zum normalen Heilungsverlauf haben, wird Ihnen in der Praxis niemand böse sein, wenn Sie sich telefonisch Rat holen.

Knochen­aufbau

Wir legen Wert darauf, dass wir mit der Natur arbeiten und nicht gegen sie! Das bedeutet, dass wir den schnellen Behandlungserfolg nicht mit unnötigen und kostentreibenden Knochenaufbauten verfolgen, sondern versuchen, mit den Gegebenheiten des Patienten das ideale Optimum durch kleine lokale Knochenaufbauten, durch Knochenersatzmaterialien oder Eigenknochen zu erreichen. Und dies in der Regel innerhalb EINER Operation zusammen mit der Implantation. So können wir zu fast 100% auf schmerzhafte Zweitoperationen zur Knochenentnahme in unterschiedlichen Körperregionen verzichten!

Dies bedeutet aber auch, dass ein Implantat überwiegend nicht in der gleichen Sitzung wie die Zahnentfernung erfolgt. Zumeist werden entzündete Zähne in einem ersten Schritt entfernt. Hier ist es - im Gegenteil zu Knochenaufbauten - nicht ratsam, in die noch entzündete Knochenregion ein Implantat zu setzen und es gar sofort mit einer Zahnkrone zu belasten. Das führt nämlich in der Regel kontraproduktiv zu einer größeren Verlustrate des neuen Implantats.

Wir haben mit unserem Konzept, die Implantate in den natürlich nachgewachsenen Knochen nach 2 (Frontzahnbereich) oder 6 Monaten (Seitenzahnbereich) zu setzen, eine Erfolgsrate von nahezu 100% bei mehreren Tausend Implantaten über viele Jahre zu verzeichnen.

Solch ein Vorgehen erfordert allerdings auch eine möglichst exakte Diagnostik, die bei uns in der Regel dreidimensional mittels DVT erfolgt. So kann die Implantation vorher am Rechner dreidimensional simuliert werden, bevor sie am Patienten durchgeführt wird.

Nach dem Ziehen oder Ausfallen des Zahnes wartet man gewöhnlicherweise drei bis sechs Monate bis ein Implantat eingefügt wird, es sei denn, man möchte eine Sofortimplantation durchführen. In der Wartezeit bildet sich in der Regel neue Knochensubstanz, welche auch die von der Zahnwurzel hinterlassene Lücke (Alveole) im Kiefer ausfüllt. Manchmal kann es zu einem natürlichen Abbauvorgang kommen, da der natürliche Reiz des Zahns nach einem Verlust beim Kauakt auf den Kieferknochen fehlt. Mit unterschiedlichen Aufbautechniken kann der verloren gegangene Knochen wieder regeneriert werden, um anschließend ein Implantat einzubringen.

Knochen­trans­plantation (Aug­menta­tion)

Verschiedene Ursachen führen jedoch zu einer ungenügenden Knochenneubildung, sodass vor der Implantation ein Knochenaufbau durchgeführt werden muss. Ein häufig vorgenommener Knochenaufbau ist die Methode der so genannten Augmentation. Bei diesem Knochenaufbau wird Knochenmaterial aus einem ganz anderen Bereich des Körpers des Patienten entnommen und an der gewünschten Stelle im Ober- oder Unterkiefer wieder eingepflanzt. Durch das dorthin versetzte Knochenmaterial wird ein fester Knochenaufbau gefördert, sodass eine wesentlich bessere Verankerung für das Implantat möglich ist. Für diese Art der Knochentransplantation kann man unter anderem Knochen aus dem Mundbereich verwenden.

Knochenaufbau durch Eigentransplantation hat den Vorteil, dass das Material natürlich vom Körper vertragen wird, aber den Nachteil, dass das Herausnehmen aufgrund der Zusatzoperation sowie dem Defekt und der Schmerzen am Ausgangsknochen zusätzlich belastend ist. Dieses Vorgehen kommt in unserer Praxis kaum noch zur Anwendung. Kleinere intelligente Augmentationen mit Eigenknochen verwenden wir sehr wohl, allerdings nur so, dass die Operation nicht größer wird als unbedingt für dein ursprünglichen Eingriff notwendig. Wir sammeln beispielsweise den Knochen beim bohren der Implantate und verwenden ihn später zum Knochenaufbau in der gleichen Sitzung.

Knochen­ersatz­material (Aug­menta­tion)

Eine Variante der Augmentation, ohne dass für die Implantation eine zweite Operation an anderen Körperregionen durchgeführt werden muss, ist die Einpflanzung von Knochenersatzmaterial zum Knochenaufbau. Dieses Spendergewebe kann ganz verschiedenen Ursprungs sein, es eignen sich zum Knochenaufbau unter anderem Materialien aus tierischen Knochen, aus bestimmten Algenarten oder speziell hergestellte Kunstmaterialien. Diese Gewebe werden nach und nach von körpereigenem Knochengewebe ersetzt. Mittlerweile können auch größere Knochendefekte sicher mit künstlichen Materialien rekonstruiert werden.

In unserer Praxis werden unterschiedliche Materialien erfolgreich verwendet, auch für größere Knochenaufbauten. Wir sind unter anderem auch in der Lage mit einfachen colagenen Materialen dreidimensionale Knochenaufbauten zu erzielen. Wir machen uns dabei die Kombination verschiedener OP Techniken und Materialien zu Nutze, die eindrucksvolle Ergebnisse bereit stellen.

Unsere Erfahrungen mit der von uns verwendeten OP-Technik im Bereich der Kieferhöhle haben wir publiziert. Hier konnten wir zeigen, dass ein Knochenaufbau im Bereich der Kieferhöhle in Einzelfällen ganz vermieden werden kann. Einen klassischen Knochenaufbau verwenden wir nur noch bei einem ausgedehnten Mangel an Knochensubstanz im Oberkiefer. 

Kiefer­knochen­spreizung / Dehn­schrauben

Durch eine spezielle OP-Technik sind wir in der Lage, Knochen plastisch zu verformen und ihn an die Stelle zu bewegen, wo er benötigt wird. Dies ist zwar ein sehr begrenztes Verfahren, ist aber in vielen Fällen ausreichend. Hier werden mittels Dehnschrauben intraoperativ Knochenstrukturen verbreitert oder alternativ erhöht. Dies kann mit vorheriger Trennung von Kiefersegmenten kombiniert werden. Entscheidend ist hierbei eine exakte OP-Planung im Vorfeld mittels einer 3D-Aufnahme.

Temporäre Implantate

Eine weitere Möglichkeit eine Knochentransplantation zu vermeiden, ist die Verwendung von temporären Implantaten. Gerade bei Nichtanlagen oder Zahnverlust im Kindesalter ist es ein interessantes und nützliches Hilfsmittel, um die Zeitspanne zu überbrücken bis der Jugendliche ausgewachsen ist und das definitive Implantat gesetzt werden kann. Das temporäre Implantat übernimmt dabei eine Platzhalterfunktion wie eine natürliche Zahnwurzel und bewahrt die Knochenbreite, die Jahre später benötigt wird.

Sinus­lift

Am Oberkiefer wird eine Methode zum Knochenaufbau im Seitenzahnbereich durchgeführt, der Sinuslift. Hierbei wird durch Anheben der Kieferknochenschleimhaut in die Kieferhöhle hinein mit Einpflanzung von Knochen oder Ersatzknochen an der vorgesehenen Stelle der Knochen verdickt, sodass ein besserer Halt für das Implantat gegeben ist und die Gefahr einer Durchstoßung und Infektion für die Kieferhöhle geringer ist.

Diese Technik führen wir, im Gegensatz zur weit verbreiteten Original Technik, durch ein ca 4 mm großes Loch minimalinvasiv aus. So können massive Schwellungen nach der Operation zuverlässig verhindert werden und die empfundenen Schmerzen sind weitaus geringer, da auch ein geringeres OP-Trauma stattgefunden hat.

Um den Eingriff noch weniger traumatisch zu gestalten, verwenden wir bei entsprechendem Knochenangebot lediglich eine spezielle Collagenmatrix, zum Schutz der Kieferhölenschleimhaut. Das Collagen wird im Laufe der Zeit Stück für Stück aufgelöst und durch eigenen Knochen ersetzt.

Auf kostenintensive Knochenersatzmaterialien kann so verzichtet werden.

Der kleinst mögliche und am wenigsten traumatisierende Eingriff im Bereich der Kieferhöhle ist der interne Sinuslift. Hier wird der vorhandene Knochen durch spezielle Instrumente in die Kieferhöhle hinein verlagert, um so das Knochenangebot zur Insertion des Implantats zu generieren. Der Patient ist in der Regel am Folgetag schmerzfrei.

Laser­be­hand­lung

Laser in der Zahnheilkunde

Das Wort Laser – Light Amplification by Stimulated Emission of Radiation – ist eine Abkürzung aus der englischen Sprache, die übersetzt bedeutet “Lichtverstärkung durch angeregte Strahlungsaussendung“.

Verschiedene Laser werden in der Zahnheilkunde unter anderem zur schmerzfreien bis schmerzarmen Kariesentfernung angewandt.

Aber auch in vielen anderen Bereichen findet Laser in der Zahnmedizin Anwendung:

In der Diagnostik

Ohne Schmerzen für den Patienten kann mit dem Laser versteckte, kariöse Zahnsubstanz gefunden werden, was für die Entscheidung zu weiteren Behandlungsschritten maßgeblich wichtig ist.

"Bohren" mit Licht

Auch beim - bislang extrem unangenehmen - Bohren, zur Entfernung von Karies leistet der Laser hervorragende Dienste. So kann beispielsweise sehr differenziert nur das kariöse Zahnmaterial entfernt werden. Dies geschieht zudem schnell, präzise und auch für den Patienten deutlich angenehmer.

In der Chirurgie

Hier dient der Laser zum Entfernen von Hautwucherungen, zur Lippenbandentfernung oder zum desinfizieren von Wunden. Auch eine Beschleunigung der Wundheilung, mit geringerem Schmerzmittelverbrauch, ist dokumentiert. Mittles geeigneter Laser kann auch der Kiefer bearbeitet werden. Dies reicht von der Abtrgaung des Knochens über die Vorbereitung zur Aufnahme eines Zahnimplantates bis zur Freilegung von Implantaten. In der Chirurgie hat der Einsatz von Lasern eine lange und sehr erfolreiche Geschichte.

In der Parodontologie

In der Parodontologie (Behandlung von Zahnfleisch- und Zahnbetterkrankungen) kann mittels Laser eine Reinigung der Zahntaschen durchgeführt werden. Dabei macht man sich die gewebeabtragenden und bakterientötenden Eigenschaften des Laserlichtes zu nutze. Dieser Effekt kommt auch zum Tragen, wenn um ein Implantat das Zahnfleisch und der Knochen entzündet sind. Hier ist eine Behandlung mittels Laser sogar unumgänglich, wenn man erfolgreich behandelt werden möchte.

Bei Wurzelbehandlungen

In diesen Fällen dient der Laser zur Sterilisation der behandelten Wurzelkanäle, um späteren Infektionen vorzubeugen. Hierdurch können eventuelle Operationen an der Wurzelspitze vermieden werden. Auch bereits erfolglos operierte Zähne lassen sich so ggfs. noch erhalten. Die Behandlung von entzündeten Zähnen stellt eine sehr schonende und effektive Behandlung dar. 


Weitere allgemeine Vorteile von Laserbehandlungen:

  • beschleunigte Wundheilung

  • i.d.R. keine Wundschwellung

  • Infektionen werden verringert

  • geringerer Verbrauch von Schmerzmitteln

  • nahezu schmerzlose, angenehmere Behandlung möglich

  • Powered by CMSimple | Template Design by intelliproductions